Patti. La rivoluzione del cuore: l’Emodinamica introduce la risonanza magnetica cardiaca di ultima generazione

di Redazione

Tecnologia, collaborazione e solidarietà: cresce il centro d’eccellenza che serve 280 mila abitanti e amplia gli ambulatori grazie anche al contributo della comunità

Nel contesto dell’attività assistenziale erogata dalla UOSD di Emodinamica del PO di Patti, diretta dal dott. Salvatore Garibaldi, nel 2019 fu istituito un servizio ambulatoriale, gestito unicamente dal CUP, con l’obiettivo di contribuire alla gestione delle malattie cardiovascolari nel vasto territorio Tirrenico- Nebroideo afferente all’Emodinamica di Patti, costituito da circa 280.000 abitanti.

Col crescere della richiesta di cure ed essendo nella facoltà di poter migliorare l’offerta assistenziale, sia sotto il profilo quantitativo che qualitativo, l’Emodinamica di Patti nel 2023 avviò altri due tipi di ambulatori, entrambi previsti ed incentivati dalla Regione: l’ambulatorio a gestione integrata, dedicato allo scompenso cardiaco, e l’ambulatorio di specialistica interna. In virtù dell’ampliamento dell’attività ambulatoriale, col tempo, è cresciuta anche la capacità di arruolare pazienti affetti da malattie cardiache, di assistere persone già sottoposte a procedure di cardiologia interventistica, nonché di prescrivere molteplici farmaci soggetti a piani terapeutici regionali, a cui l’Emodinamica di Patti è abilitata: farmaci per la cura dello scompenso cardiaco, delle dislipidemie, della cardiopatia ischemica e per la prevenzione della malattia tromboembolica. Con l’attivazione dei nuovi ambulatori sono state altresì introdotte innovative metodiche strumentali, altamente sensibili e specifiche, che hanno potenziato in modo significativo le competenze diagnostiche del Centro (diagnostica di II° livello).

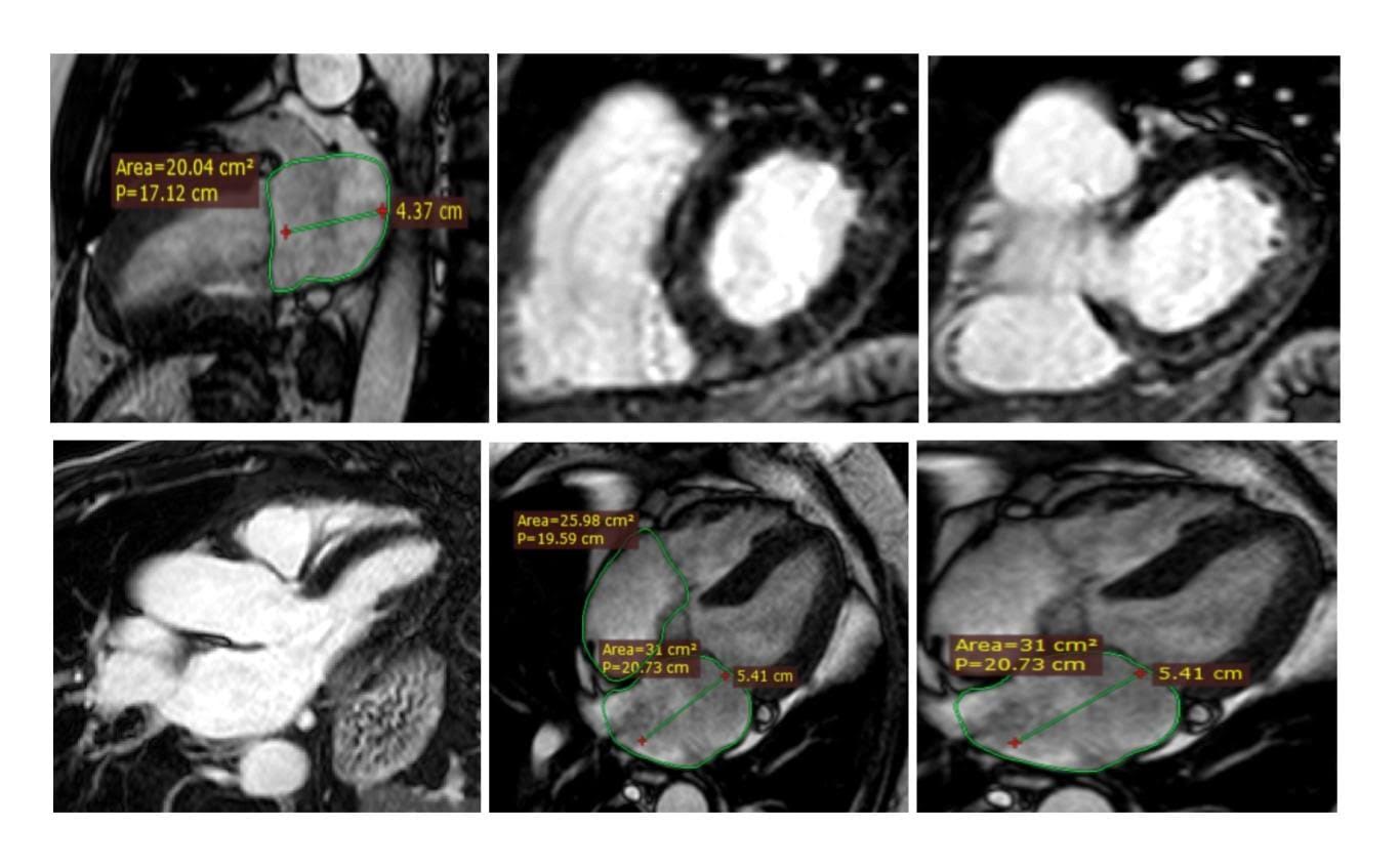
In pratica, attualmente, all’interno dell’attività ambulatoriale dell’Emodinamica di Patti vengono eseguite le seguenti prestazioni specialistiche: 1) prestazioni di I° livello (visita cardiologica con elettrocardiogramma, ecocardiografia color-doppler, test da sforzo su pedana mobile); 2) prestazioni di II° livello (ecocardiografia con mezzo di contrasto ed ecografia transcranica per la ricerca di comunicazioni patologiche all’interno del cuore, ecocardiografia da stress per la studio della cardiopatia ischemica, ecocardiografia trans-esofagea per lo studio di anomalie valvolari ed a supporto di interventi cardiaci strutturali percutanei). Recentemente, disponendo di adeguate risorse professionali e strumentali, gli ambulatori dell’ Emodinamica di Patti sono stati arricchiti di una nuova metodica ad altissima sensibilità e specificità diagnostica (diagnostica di III° livello), ovvero della Risonanza Magnetica Cardiaca eseguita in condizioni basali per lo studio di patologie cardiache tissutali, strutturali e valvolari, con l’obiettivo, entro la fine dell’anno, di estendere la sua applicazione alla ricerca della cardiopatia ischemica durante stress farmacologico (tecnica presente solo in pochi centri del Sud Italia). In un conteso di valida collaborazione tra l’Emodinamica di Patti e le Divisioni di Radiodiagnostica dei PP.OO di Milazzo e Barcellona PG, dirette dal dott. Simone Fogliani e dalla Dott.ssa Francesca Torre, la metodica in oggetto viene concretamente svolta da un team multidisciplinare di Cardiologi e Radiologi presso il Centro di Risonanza Magnetica Nucleare del PO di Barcellona PG, la cui apparecchiatura è dotata di modulo cardiaco Riguardo alla realizzazione di questa rilevante attività diagnostica multidisciplinare, a servizio del vasto territorio Tirrenico-Nebroideo, è doveroso esprimere gratitudine ai Vertici Aziendali dell’ASP Messina, in primo luogo al Direttore Generale dott. Giuseppe Cuccì, per l’imprescindibile supporto tecnico e la fiducia riposta. Un grazie per il contributo organizzativo va anche al direttore Medico del PO di Barcellona PG dott. Giuseppe Cocuzza.

L’ambulatorio di Emodinamica di Patti rappresenta un efficiente servizio pubblico, di altissimo livello tecnologico e diagnostico, ben organizzato per accettare e curare pazienti con gravi patologie cardiache e per seguirli in modo programmato anche dopo eventuali procedure interventistiche. Con il presente articolo, infine, si coglie l’occasione per evidenziare la generosa donazione, effettuata dal Comitato Aretè di Patti, degli arredi di una stanza aggiuntiva assegnata all’ambulatorio di Emodinamica del “Barone Romeo” per via dell’aumento dei volumi di attività. Un gesto che si inserisce nella logica della riconoscenza e della partecipazione attiva della cittadinanza, un atto concreto di solidarietà civica volto a migliorare la qualità e l’efficienza del servizio, con riflessi positivi sulla salute e sul benessere di tante persone.

06 Novembre 2025 | 10:12
© RIPRODUZIONE RISERVATA